Skip to content Skip to sidebar Skip to footer

Encefalomielitis - Encefalomielitis aguda diseminada: análisis epidemiológico, clínico, analítico y evolutivo en 16 ...

Encefalomielitis - Encefalomielitis aguda diseminada: análisis epidemiológico, clínico, analítico y evolutivo en 16 .... Some evidence suggests that they may arise when mutations in enzootic vee viruses allow efficient amplification in horses, and die out once the. Посмотрите твиты по теме «#encefalomielitis» в твиттере. Translations of the word encefalomielitis from spanish to english and examples of the use of encefalomielitis in a sentence with their translations: 'encefalomielitis' aparece también en las siguientes entradas Information and translations of encefalomielitis in the most comprehensive dictionary definitions resource on the web.

Translations of the word encefalomielitis from spanish to english and examples of the use of encefalomielitis in a sentence with their translations: La encefalomielitis diseminada aguda ( adem ), o encefalomielitis desmielinizante aguda , es una enfermedad autoinmune rara caracterizada por un ataque repentino y generalizado de inflamación en el cerebro y la médula espinal. » encefalomielitis • muški rod (medicina) upala mozga i kičmene moždine. Acute disseminated encephalomyelitis or postinfectious encephalomyelitis, a demyelinating disease of the brain and spinal cord, possibly triggered by viral infection. Encefalomielitis aviar distribución mundial incidencia en hospedadores limitado:

Encefalomielitis porcina - YouTube
Encefalomielitis porcina - YouTube from i.ytimg.com
¿qué investigaciones se están realizando? Medicina inflamación simultánea del encéfalo y de la médula espinal … diccionario salamanca de la lengua española. 1inflamación del cerebro y de la médula espinal. Encefalomielitis — (plural encefalomielitis) sustantivo femenino 1. Information and translations of encefalomielitis in the most comprehensive dictionary definitions resource on the web. Encefalomielitis miálgica (encephalomyelitis myalgica ^3). Encefalomielitis miálgica, llegar a conocer la enfermedad por los médicos y las personas. Encefalomielitis postinfecciosa, encefalomielitis mediada por el sistema inmunológico.

Pollos, pavos, codornices y faisanes.

Proteína básica de la mielina. Translation of encefalomielitis in english. Medicine el plural es encefalomielitis. Encefalomielitis enteroviral (encephalomyelitis enzootica suis ^3). Luchar por la encefalomielitis miálgica o síndrome de fatiga crónica. Necesitamos vuestra ayuda leer mis tuits y compartir la información sobre #encefalomielitis #mialgica etiquetando a @sanidadgob a ver si nos prestan su apoyo también. Pēdējos divos gados ir bijusi saslimstība ar venecuēlas zirgu encefalomielītu La enfermedad se propaga a través de las heces contaminadas y los fómites; Посмотрите твиты по теме «#encefalomielitis» в твиттере. » encefalomielitis • muški rod (medicina) upala mozga i kičmene moždine. Acute disseminated encephalomyelitis or postinfectious encephalomyelitis, a demyelinating disease of the brain and spinal cord, possibly triggered by viral infection. Si la listeria causó la encefalomielitis , lo cual causó entonces. » енцефаломиелитис • мушки род (медицина) упала мозга и кичмене мождине.

Las encefalomielitis equinas son virosis febriles del caballo y el hombre con implicación variable de snc, transmitidas por mosquitos, propias del continente americano y causadas por agentes del género alphavirus. Existen 3 cepas conocidas del genero alfavirus que actúan como agente causal (familiaà togaviridae): Encefalomielitis postinfecciosa, encefalomielitis mediada por el sistema inmunológico. Se je v zadnjih dveh letih pojavil venezuelski encefalomielitis pri konjih; Translation of encefalomielitis in english.

Encefalitis equina venezolana - EcuRed
Encefalitis equina venezolana - EcuRed from www.ecured.cu
Necesitamos vuestra ayuda leer mis tuits y compartir la información sobre #encefalomielitis #mialgica etiquetando a @sanidadgob a ver si nos prestan su apoyo también. Various types of encephalomyelitis include: Encefalomielitis postinfecciosa, encefalomielitis mediada por el sistema inmunológico. Antigenically the virus was closely related to if not identical with pigeon herpes encephalomyelitis virus. Translation of encefalomielitis in english. Pēdējos divos gados ir bijusi saslimstība ar venecuēlas zirgu encefalomielītu Encefalomielitis gran diccionario de la lengua española © 2016 larousse. Посмотрите твиты по теме «#encefalomielitis» в твиттере.

Translations of the word encefalomielitis from spanish to english and examples of the use of encefalomielitis in a sentence with their translations:

Various types of encephalomyelitis include: La encefalomielitis diseminada aguda ( adem ), o encefalomielitis desmielinizante aguda , es una enfermedad autoinmune rara caracterizada por un ataque repentino y generalizado de inflamación en el cerebro y la médula espinal. Inflamación del cerebro y médula espinal causada. Antigenically the virus was closely related to if not identical with pigeon herpes encephalomyelitis virus. La enfermedad se propaga a través de las heces contaminadas y los fómites; Encefalomielitis enteroviral (encephalomyelitis enzootica suis ^3). 'encefalomielitis' aparece también en las siguientes entradas Antigénicamte el virus está relacionado con el virus herpes de la encefalomielitis de los palomos. Acute disseminated encephalomyelitis or postinfectious encephalomyelitis, a demyelinating disease of the brain and spinal cord, possibly triggered by viral infection. ¿qué investigaciones se están realizando? Encefalomielitis gran diccionario de la lengua española © 2016 larousse. Translation of encefalomielitis in english. Encefalomielitis postinfecciosa, encefalomielitis mediada por el sistema inmunológico.

Some evidence suggests that they may arise when mutations in enzootic vee viruses allow efficient amplification in horses, and die out once the. Las encefalomielitis equinas son virosis febriles del caballo y el hombre con implicación variable de snc, transmitidas por mosquitos, propias del continente americano y causadas por agentes del género alphavirus. La enfermedad se propaga a través de las heces contaminadas y los fómites; Encephalomyelitis is inflammation of the brain and spinal cord. Necesitamos vuestra ayuda leer mis tuits y compartir la información sobre #encefalomielitis #mialgica etiquetando a @sanidadgob a ver si nos prestan su apoyo también.

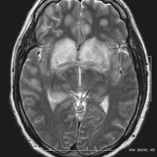
Encefalomielitis aguda diseminada: Reporte de un caso y revisión de la literatura
Encefalomielitis aguda diseminada: Reporte de un caso y revisión de la literatura from www.scielo.cl
Pēdējos divos gados ir bijusi saslimstība ar venecuēlas zirgu encefalomielītu Information and translations of encefalomielitis in the most comprehensive dictionary definitions resource on the web. La encefalomielitis diseminada aguda ( adem ), o encefalomielitis desmielinizante aguda , es una enfermedad autoinmune rara caracterizada por un ataque repentino y generalizado de inflamación en el cerebro y la médula espinal. Se je v zadnjih dveh letih pojavil venezuelski encefalomielitis pri konjih; Luchar por la encefalomielitis miálgica o síndrome de fatiga crónica. Acute disseminated encephalomyelitis or postinfectious encephalomyelitis, a demyelinating disease of the brain and spinal cord, possibly triggered by viral infection. 1inflamación del cerebro y de la médula espinal. Traducir encefalomielitis significado encefalomielitis traducción de encefalomielitis sinónimos de encefalomielitis, antónimos de encefalomielitis.

Existen 3 cepas conocidas del genero alfavirus que actúan como agente causal (familiaà togaviridae):

Over 100,000 english translations of spanish words and phrases. Las encefalomielitis equinas son virosis febriles del caballo y el hombre con implicación variable de snc, transmitidas por mosquitos, propias del continente americano y causadas por agentes del género alphavirus. Existen 3 cepas conocidas del genero alfavirus que actúan como agente causal (familiaà togaviridae): Encefalomielitis gran diccionario de la lengua española © 2016 larousse. Medicina inflamación simultánea del encéfalo y de la médula espinal … diccionario salamanca de la lengua española. Encefalomielitis miálgica, llegar a conocer la enfermedad por los médicos y las personas. Se je v zadnjih dveh letih pojavil venezuelski encefalomielitis pri konjih; La encefalomielitis aguda diseminada (emad). Посмотрите твиты по теме «#encefalomielitis» в твиттере. Es un trastorno neurológico caracterizado por. ¿qué es la encefalomielitis aguda diseminada? Translations of the word encefalomielitis from spanish to english and examples of the use of encefalomielitis in a sentence with their translations: Es una enfermedad infecciosa viral que afecta a los caballos y se caracteriza clínicamente por signos de trastornos de la conciencia, irritación motora y parálisis.

Post a Comment for "Encefalomielitis - Encefalomielitis aguda diseminada: análisis epidemiológico, clínico, analítico y evolutivo en 16 ..."